Last week, I donated blood to a research study. Despite all my frustrations with antibiotics and traditional medicine, I want to participate in finding a cure for chronic Lyme Disease and other tick-borne infections. The study is at Stanford University, part of a group that looks at chronic illness. I’m not sure what they expect to find, but I know that part of what I agreed to is to use my tissue in a tissue bank for future research in Lyme Disease, Chronic Fatigue Syndrome, and other related conditions.
If you live within driving distance of Stanford and have been diagnosed with Lyme Disease, I encourage you to participate in the study. It is the first in the list on their Current Research page.
There is another opportunity to participate in Lyme Disease research. It is a databank hosted by LymeDisease.org called My Lyme Data. I’ve signed up for this one as well. I encourage everyone who reads this to consider participating. My goals in participating are to help find better diagnostic tools and to help find a cure.
I’m choosing to participate in research for one more reason. These diseases have had profound long term consequences on my health, my body, and my life. I haven’t been working for almost 9 years. I continue to struggle with relapses, never mind the fact that I’ve never had a remission from Bartonella. And, as I learned again in December, my body has been marked by these chronic tick-borne infections.
Osteoporosis
Back in October, I developed a pain in my left heel. My reaction was to coil it, stretch it, and be kind to my feet for a few weeks. It almost seemed to be getting better, or at least not getting worse. I didn’t want to go to a doctor because many of my joint problems resolve with a few weeks of coiling.
Nothing really worked. Then I walked a little more than usual one day, and I could barely stand on my foot by the time I got home. I finally went to an orthopedist shortly before I left to visit my family in Virginia. I convinced myself to get checked out to make sure I knew what to do to prevent further damage while I was traveling.
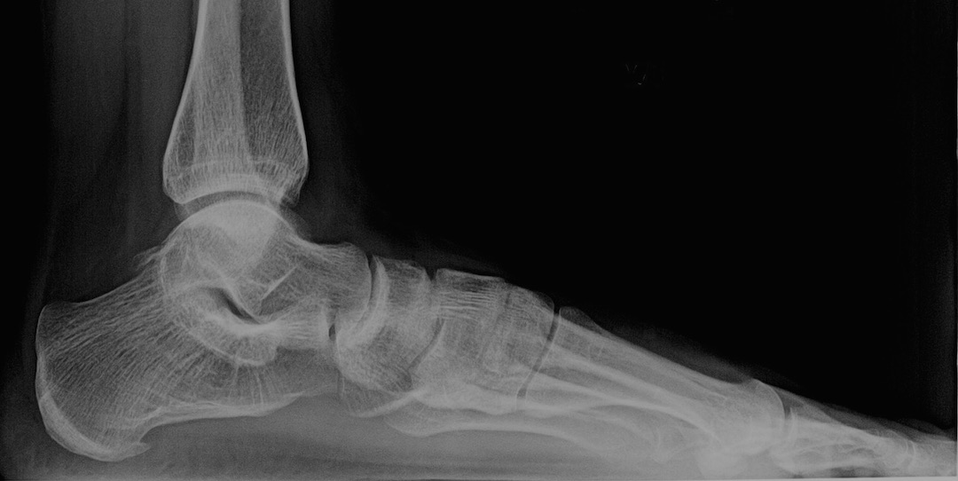
The orthopedist started with an x-ray, which is understandable, since heel pain can be from spurs. This particular doctor sees a lot of people for sports injuries, and he’s good at diagnosing chronic problems. When he looked at my x-rays, he was shocked.
Doctor: Are you aware that you have severe osteoporosis? I’ve never seen it this bad in someone your age.
Me: Yes, I know. I couldn’t walk for a while because of the Lyme Disease.
Doctor: How long?
Me: Three years.
Doctor: Three years? Three years! That’s a long time.
Me: I know.
Doctor: You have to be very careful. If you land the wrong way on your heel, it will crack.
Me: (suddenly aware of how fragile my bones are) Wow. Thanks for the warning.
Doctor: (deep breath) Fortunately there’s good news. I’ve seen this before in studies, but never in my practice. (points to a portion of the x-ray) You have extensive remineralization. Whatever you’re doing keep doing it.
Me: I will.
Doctor: How did you build up your bones so much?
Me: I started walking again as much as possible, until a few months ago.
Doctor: What else?
Me: Vitamin D, Vitamin K2, Magnesium and Calcium.
Doctor: I read that Calcium is not the cure we once thought it was. Magnesium is good. Now let me show you the x-ray.

The x-ray above shows several things. First, my bones are very thin. The white parts should be much whiter for someone my age. The osteoporosis is throughout my ankle and heel, at the base of my tibia and fibula, and on the ends of the metatarsal bones. The remineralization is visible as the “spiderweb” or white crosshatching lines at the ends of my bones. The solid white lines are where the minerals (calcium, magnesium, etc.) are redepositing.
The doctor talked fast and wasn’t really ready to listen to my program for rebuilding my bones. It is a little more than walking and taking 4 pills, even though those are the basis of my progress. When I was really sick, I thought it was more worthwhile to take 20 minutes to walk a short distance (from my door to the car waiting for me outside) than to use a wheel chair and do it in three minutes. As I reduced the nervous system infection load and my overall toxicity level, I could do more, so I did. I walked whenever I could. I did yoga whenever I could. I stood whenever I could. It clearly wasn’t enough, given how thin my bones still are, but I did everything I could manage to use my body.
I read a lot about feet and walking and running (I still dream of running, having been able to do it so few times) and decided that as I began to walk again, I wanted to use barefoot style shoes. The main reason for this choice is to build the muscles in my feet. I read that walking barefoot (which I do in the house) rather than in shoes, engages the foot muscles and builds them faster and stronger than walking in shoes. It also helps adjust the rest of the body to its optimum posture, engaging the leg muscles in a different way.
More than that, it has been an attitude. I need rest. Whenever I need to rest, I do. But whenever I can be active, I’m active…even when active means standing in the kitchen washing dishes. Anything that keeps me upright and weightbearing is good by me. And whenever I can, I push things a little. I’d rather find my limit and hover just inside it than stay comfortable, allowing the healing process to stall.
There are many symptoms and problems that many doctors will say are permanent damage. I remember a neurologist who intentionally scared me to get me to try neurontin for the nerve pain I was experiencing in the months leading to a Lyme Disease diagnosis. He talked about nerve damage and chronic nerve pain. I believe, based on my experiences with antibiotic treatment and using the coil machine that the nerve pain and damage that the neurologist claimed would become permanent is a sign of continuing infection. As the infection and related toxins clear, the neuropathy goes away.
Nobody back then talked to me about osteoporosis (though a year later my acupuncturist was the first to mention it). That has been the actual long term consequence of being unable to move because of nerve dysfunction (i.e., being unable to control my legs to walk) from the infections. This is the problem I’ll still be cleaning up, even after I put the infections into remission or get rid of them altogether.
Problems Walking
Osteoporosis is only one of the many problems that I discovered when I went to see the orthopedist. The other five are:
- Bursitis in my heel, likely from Lyme Disease or Bartonella
- Nerve inflammation on the medial side of my ankle and foot, likely from Lyme Disease or Bartonella
- Plantar fasciitis, mild but likely from not walking much then going on a trip where walking was required (the funeral in October)
- Deconditioning of the ankle, or loss of muscle strength from lack of use, from not walking on it because of pain
- Thinning of the fat pad in the heel.
I’ve been feeling urgent about fixing these problems, except for the last one, which can’t be fixed. For the bursitis and nerve inflammation, I continue to coil. I’ve been putting anti-inflammatory essential oils on my foot at night. I’ve been taking ibuprofen in the morning for the bursitis. Nothing yet has really helped.
I’ve had bursitis twice before, once in my shoulder and once in my wrist. Both times it was before I got diagnosed with tick-borne infections. For my shoulder, I had a steroid injection. I’m not likely to repeat that, now that I know steroids allow the infections to get stronger. For my wrist, I did physical therapy to improve the musculature in my arm and hand and protect the joint better. In addition I took ibuprofen and it cleared up after about a month. I hope this works the same way.
For the plantar fasciitis and deconditioning, I started doing physical therapy. It’s painful, but it helps a little. I’m being fastidious about doing the home exercises between sessions, trying my best to rebuild my feet. I stopped wearing padded shoes, which I’d been doing until I saw the orthopedist, to try to give my heel a rest. Now I’m back to the barefoot shoes, since the plantar fasciitis is so mild, and it helps me avoid putting pressure on my heel when I walk. When I wore cushioned sneakers, I walked with an obvious pronounced heel-strike.
I have a certain amount of urgency about walking again. I feel better, physically, psychologically, emotionally, when I can go for a 30 minute walk every day or two. Now, I’m stuck with shorter walks, maybe 10 minutes at a time, and then I’m in a lot of pain. So I’m trying to solve this problem and get back to walking (and bone building) and making progress against the tick-borne illnesses.
Coiling Update
When I got back from the Christmas trip to Virginia, I focused my daily coiling on Lyme Disease because I had a lot of arthritis. The herxes were making me sleepy all the time. I was starting to think I had a Babesia flare. I think I’ve got it enough under control that I can coil for Lyme every three or four days, while working on Bartonella in between. After a day of not coiling for Lyme, I was able to confirm the sleepiness was from the Lyme herx because it went away when I didn’t coil.
I’ve changed my Bartonella coiling routine (again) to focus on my central and radial nerves and maximize coiling time. It’s taken me until yesterday to coil for Bartonella twice a day. I felt resistant as the Bartonella herx (headaches, kidney pain, urinary hesitation, constipation, peripheral nerve pain and tingling in my arms) crept up rapidly. But I know that unless I do it twice a day, fatigue starts putting me in a holding pattern. I’ve added a few minutes of both Bartonella and Lyme coiling to my feet to see if I can finally get the bursitis and nerve inflammation to resolve.
Bartonella Coiling Protocol
832Hz (48 minutes total, twice per day)
- Back of head – 8 minutes
- Each shoulder knob – 8 minutes
- Spine: upper, middle, lower – 8 minutes each
Since I can only coil for 16 minutes with each coil before it gets too hot, I have to use three coils to do this protocol.
To keep up with all this, I’m taking my usual detox herbs (milk thistle and chanca piedra) as well as NAC (n-Acetyl cysteine), an antioxidant that helps with Bartonella herxes and with inflammation (bursitis and nerve). Most nights I’m also drinking tea that contains dandelion root. And I’m drinking kombucha some days. As the herxes get more intense, I’ll get more consistent about drinking the teas. (For completeness of the record, I’m also taking the 4 supplements for bone building.)
My goal continues to be to get rid of Bartonella as soon as possible. I remind myself of this every day. This is the key, hopefully to reaching the end, but if not, then to whatever remains.
Leave a comment